Human GITRL/TNFSF18 (N-His-Avi)

Product Details


ApplicationELISA, BLI
FormatLiquid, Purified
Expression HostCHO
Target NameTNFSF18, GITR Ligand, AITRL, TL6, GITRL
SpeciesHuman
Accession NumberQ9UNG2
SourcesRecombinant Human TNFSF18 (Glu52-Ser177) with N-terminus His-Avi tag is expressed in CHO cells.
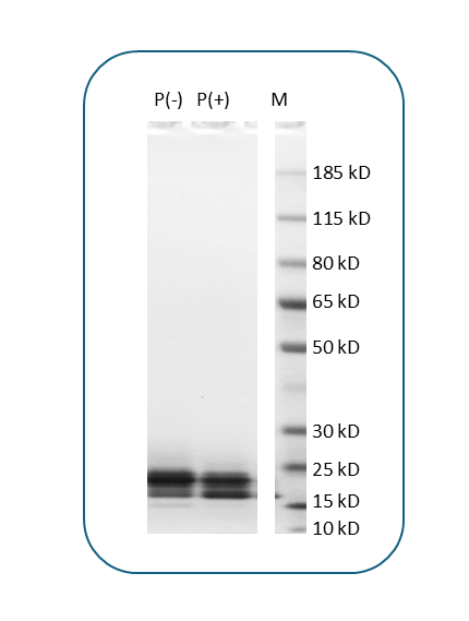
Molecular WeightThis prtoein has the predicted molecular weight of 18.3 kD. Under DTT-reducing conditions, the protein migrates at approximately 20 kD on SDS-PAGE
Affinity TagN-His-Avi
Purity>95% based on SDS-PAGE under reducing condition
Regulatory StatusRUO
Formulation1xPBS buffer, pH7.4, 0.22 µm filtered
Endotoxin levelLess than 0.1 EU/µg protein as determined by the LAL method
Protein Concentration25µg size is bottled at 0.2mg/mL concentration. 100 µg size is supplied at a lot-specific concentration.
Storage and HandlingBriefly centrifuge the vial upon receipt. An unopened vial can be stored at 4°C for up to 2 weeks, or at -20°C or below for up to six months. The protein may be further diluted to 0.1 mg/mL using 0.22 µm-filtered PBS buffer (pH 7.4). For long-term storage, the diluted stock solution should be aliquoted and stored at ≤ –70°C to minimize freeze-thaw cycles. If additional dilution is required, carrier proteins such as FBS or BSA should be added to maintain protein stability.

Background Information


Human GITRL (Glucocorticoid-Induced TNFR-Related Ligand), also known as TNFSF18, is a member of the tumor necrosis factor (TNF) superfamily. It is a type II transmembrane protein primarily expressed on activated antigen-presenting cells, including B cells, dendritic cells, and macrophages. GITRL binds to its receptor GITR, which is found on activated T cells, regulatory T cells (Tregs), and natural killer (NK) cells. The GITR–GITRL interaction delivers a co-stimulatory signal that promotes T cell activation, proliferation, and survival, while also modulating the suppressive activity of Tregs. This signaling pathway plays a key role in immune regulation, inflammation, and antitumor immunity.

Data Sheets


Human GITRL/TNFSF18 (N-His-Avi) TDS